В каких случаях болит плечо?
Дискомфорт в области плеча может быть спровоцирован следующими факторами:
- Не полностью вылеченные травмы плечевого сустава. В этом случае сухожилие, подвергшееся повреждению, будет разрушаться и в дальнейшем. Это, в свою очередь, вызовет более серьезные деструктивные процессы в тканях;
- Искривление осанки. Деформации в области позвонков могут спровоцировать острые воспалительные процессы в нервных окончаниях и волокнах;
- Длительная нагрузка на одну часть тела. Сопровождается воспалительными явлениями в сухожилии;
- Гиподинамия. Если человек ведет малоподвижный образ жизни, это чревато нарушением кровотока вблизи плечевого сустава и деструктивными изменениями в области хрящевой ткани.
Следует отметить, что если у человека сильно болит плечо, дискомфорт в этой области может возникать не только на фоне механических факторов, но и проявляться вследствие каких-либо воспалительных и инфекционных процессов, а также сигнализировать о наличии злокачественного новообразования. Таким образом, когда болит левое или правое плечо, причины недуга могут носить следующий характер:
| Остеохондроз шейного отдела | В силу деструктивных изменений в позвонках может возникать защемление спинномозговых нервов |
| Артрит | Воспалительный процесс сам по себе сопровождается болевым синдромом, а также может нарушать двигательную активность сустава |
| Артроз | В силу нарушений в области хрящевой ткани может ухудшаться состояние сустава, что сопровождается воспалительными явлениями и болевыми ощущениями во время двигательной активности |
| Тендинит | Патология, в процессе которой возникает воспалительный процесс в области мягких тканей, расположенных вблизи плечевого сустава, и сухожилий |
| Капсулит | Характеризуется постоянным воздействием со стороны костей и сухожилий на воспаленную область суставной капсулы |
| Неврит плечевого нерва | В этом случае у пациента не просто болит плечо, а имеет место сильный дискомфорт в области нерва с последующей утратой чувствительности в верхней конечности |
| Бурсит | Воспалительный процесс вблизи сустава может спровоцировать болевые ощущения во время совершения движений. При этом поражению подвергается суставная сумка, которая играет ключевую роль для хряща и мышц, поскольку обеспечивает их защиту при чрезмерных нагрузках. |
| Онкологические новообразования | При наличии злокачественных опухолей двигательная активность нарушается, а воспалительные явления иррадиируют на близлежащие области. Положительный прогноз возможен при своевременном выявлении патологии |
| Генетические заболевания | Наследственные патологические процессы также могут вызвать воспаление в области плечевого сустава и привести к деструктивным процессам в области хрящей |
| Инфекционные процессы | Попадание вредоносных микроорганизмов в сустав происходит через кровь. Чаще всего этого происходит при травмировании сустава, что характеризуется воспалительными явлениями и возникновением гнойных очагов |
Факторы, способствующие развитию нестабильности плеча
Существует ряд факторов, которые могут способствовать развитию нестабильности плеча и сопутствующих симптомов. Изучение этих факторов позволяет врач-реабилитологу лучше провести лечение и избежать рецидивов нестабильности. В основном это следующие факторы:
- наличие в анамнезе эпизодов дислокации плеча (вывихи или подвывихи)
- неадекватная реабилитация после вывиха плеча
- интенсивное участие в спортивных мероприятиях или избыточная нагрузка на плечо
- мышечная слабость (особенно мышц вращательной манжеты)
- мышечный дисбаланс
- нарушенная биомеханика движений или техники занятий спортом
- ригидность грудного отдела позвоночника
- гипермобильность плечевого сустава
- слабость связочного аппарата
- скованность мышц вследствие нарушенной осанки
- изменения в тренировках
- плохая осанка
- недостаточная разминка перед занятиями спортом
Что может спровоцировать болевой синдром в плечевом суставе?
Плечелопаточный периартрит
Среди заболеваний, которые вызывают ноющие боли в плечах, выделяют плечелопаточный периартрит («замороженное плечо»)1. Заболевание провоцирует болевой синдром в плечевом суставе более чем в 50% случаев1,2. Заболевание возникает, когда:
- рукой сделано неестественное движение;
- руки перегружены непривычной физической работой;
- происходит травма, падение на плечо или вытянутую руку3.
При плечелопаточном периартрите основные симптомы – ноющая боль в плече, чаще односторонняя, а также ограничение движений. Вначале боли нерезкие, но по мере прогрессирования заболевания могут стать весьма интенсивными.
Грыжа и проблемы с позвоночником
У ряда больных, страдающих от боли в плечевом суставе, болевой синдром связан с заболеваниями шейного и грудного отделов позвоночника, например, грыжей диска2,4. При проблемах в шейно-грудном отделе человек чувствует стреляющую боль не только в зоне плеча, но и во всей конечности. При этом пациент может двигать рукой практически свободно. Боли обычно интенсивные, односторонние, и могут беспокоить в ночное время.
Артроз
Артроз плечевого сустава обычно возникает после 45 лет2,5. Он считается болезнью мужчин, которые поднимают тяжелые грузы. Нередко заболеванием страдают и профессиональные спортсмены: в частности, легкоатлеты и тяжелоатлеты, теннисисты. Среди основных симптомов артроза:
- умеренная боль, возникающая при движении конечностями;
- незначительное снижение подвижности плеча;
- хруст;
- атрофия близлежащих мышц5,6.
Артрит
При любом типе артрита (псориатическом и ревматоидном) ощущается ноющая боль в плечевом суставе на фоне признаков воспаления, появляются припухлости и покраснения4.
При распространенном артрите воспалительный процесс обычно начинается в суставах коленей и стоп, пальцах обеих конечностей. Самые интенсивные боли бывают глубокой ночью: в это время все части тела находятся в спокойном состоянии. Обычно боль можно уменьшить с помощью небольшой разминки4.
Болезнь Бехтерева
Анкилозирующий спондилоартрит (болезнь Бехтерева) чаще всего поражает молодых мужчин4,7.
Болезнь Бехтерева начинается с симптомов радикулита, обычно шейного или поясничного. На определенном этапе болезни начинаются резкие стреляющие боли в руку или ногу. Таким пациентам часто ошибочно ставится диагноз остеохондроз
Тем не менее, опытный врач обращает внимание на:
- ритмичность ощущений боли (усиление под утро и снижение в течение дня);
- скованность поясницы (наиболее выражена ближе к окончанию ночи и практически исчезает к полудню);
- возраст больного (обычно остеохондрозом страдают пожилые, а болезнью Бехтерева – молодые люди).
Реже боли в плечах провоцируются скованностью мышц шеи из-за проблем с сосудами, кровообращением или печенью2.
Неожиданно пронзившая левое плечо острая боль может предвещать сердечный приступ. В этом случае следует немедленно обратиться к кардиологу. Резкая боль в правом плече иногда является первым симптомом возможного приступа ЖКБ (желчнокаменной болезни)2.
Лечение и реабилитация
Если вас начала беспокоить острая или ноющая боль в плече, необходимо максимально быстро определить причину болевого синдрома. Для диагностики необходимо обратиться к специалисту. После обследований врач сможет точно определить, чем лечить боль в плече4,8.
Если боль является следствием травмы, то на пораженный участок накладывают фиксирующую повязку. Чтобы снять болевой синдром и остановить развитие воспалительного процесса, врач назначает нестероидные, стероидные и наиболее мощные среди анальгетиков опиоиды в виде таблеток, инъекций, гелей и мазей4,8.
Для устранения функциональных блоков, подавления болей и возобновления двигательных функций назначают мануальную терапию. Чтобы расслабить плечевые мышцы, специалист проводит лечебный массаж2. Для восстановления хрящевой ткани врач назначает хондопротекторы4,7. Ускорить лечебный процесс помогают витаминные препараты4,8.
На основе хондроитина и глюкозамина был создан комбинированный хондропротектор Терафлекс. Такая комбинация показала эффективность при лечении интенсивных болей в суставах9. Прием Терафлекса помогает улучшить самочувствие пациентов и уменьшить боль в плече при систематическом применении10.
Эффективность приема хондроитина и глюкозамина для процессов регенерации хрящевой ткани суставов была подтверждена многочисленными исследованиями11.
Нельзя постоянно прогресировать в рабочих весах, сделайте перерыв
Если Вы выполняете определенное упражнение в течение длительного времени – обычно 6-8 недель, могут начаться неприятности, особенно если Вы – бывалый спортсмен.
Во-первых, Ваш организм перестает адаптироваться. Вы больше не боретесь — вероятно, это означает, что мышцы перестают расти, что я уже описывал в статье про наращивания силы и объема мышц. В этот момент большинство спортсменов также осознает, что не улучшаются показатели PR – что, очевидно, указывает на то, что Вы не становитесь сильнее.
Следующая неприятность заключается в том, что вы постоянно держите свои суставы и соединительные ткани в напряжении, неделя за неделей.
Если болит плечо после жима, то после одного или двух месяцев тренировок, Вы больше не получаете от них пользу, а только травмируете плечевые суставы вследствие злоупотребления тренировками. Но, тем не менее, продолжаете тренироваться.
Можно задать вопрос? Почему?
Позвольте догадаться – Вы боитесь, что, если перестанете тренироваться, то потеряете все, что наработали. Я будто в воду смотрю, не так ли?
Честно говоря, я тоже прошел через это. Но правда заключается в том, что лучший способ увеличить свои показатели в жиме штанги лежа – это сделать перерыв. Не волнуйтесь, Вы не станете жать меньше, просто выполняйте близкие к жиму вариации упражнений с повторением. Извлеките максимальную пользу из так называемых «вспомогательных упражнений»: жим штанги с узким хватом, жим штанги с наклонной скамьи (с разным углом наклона, а не только 45 градусов), отжимания (с кольцами или с грузом), жим лежа с гантелями, жим на тренажере сидя, жим грифа-рамки с поперечными рукоятками.
Если Вы занимаетесь, к примеру, дважды в неделю, выполняйте 1-2 из этих упражнений во время тренировки, но сначала убедитесь, что они не принесут Вам вреда. Затем, через 4-6 недель, поменяйте 50-100% упражнений. Как только начнет затихать боль в плечах – можете также включить в программу стандартный жим штанги лежа.
Как это работает? Точно так же, как замедляется рост мышечной массы вследствие выполнения одного и того же упражнения, так же теряется и сноровка. Большинство людей этого не осознает, так как, когда Вы возвращаетесь к выполнению упражнения через некоторое время, возникает чувство, что оно «не работает». Но это нормально, и даже больше – это отлично. Старые неэффективные методы, к которым Вы привыкли, теперь кажутся очевидными, и после нескольких занятий ваша техника, вероятно, будет лучше, чем когда-либо. И Вы, скорее всего, включите в работу больше мышц за счет новых жимовых движений. В этом и заключается прелесть разумно применяемой смены упражнений.
Анатомическая характеристика плечевого пояса
Чтобы понимать, почему могут возникать болевые ощущения, сперва необходимо разобраться в анатомии плеча. Это достаточно важный момент, так как вы будете иметь точное представление о том, какие мышцы задействуются в том или ином упражнении. Прежде всего это позволит вам выполнять упражнение анатомически верно, совершая правильные движения и снижая риск возникновения травмы.
Также, имея базовое представление о том, что и где находится, можно примерно понять, где находиться пораженная область и какие упражнения необходимо выполнять для реабилитации или профилактики травм плечевого пояса.
Итак, плечевой сустав человека входит в список самых больших и наиболее подвижных суставов в теле. Он формируется там, где плечевая кость входит в лопатку. Далее идут не менее важные кости входящие в структуру плеча:
- Акромион – костная проекция лопатки.
- Ключица – встречается с акромионом в акромиально-ключичном суставе.
- Коракоидный отросток представляет собой крючковидную костную проекцию из лопатки.
Кроме того, плечевой пояс соединяет в себе другие дополняющие и очень важные структуры, которые обеспечивают полноценную подвижность плеча:
- Вращающая манжета – представляет собой совокупность мышц и сухожилий, которые окружают плечо, оказывая ему поддержку и обеспечивая широкий диапазон движений.
- Бурса — это маленький мешочек с жидкостью, который смягчает и защищает сухожилия вращающей манжеты.
- Манжета хряща, называемая «верхняя губа», образует чашку, в которую может вписаться шарообразная головка плечевой кости.
Плечевая кость относительно свободно входит в плечевой сустав. Это обеспечивает его широким диапазоном движений с одной стороны, с другой – делает плечевой сустав более уязвимым к различного рода травмам.
Что же касается мышечных групп, помимо дельтовидных отростков, о которых наверняка все знают, существует еще ряд мышц, которые отвечают за поддержку плечевого сустава при выполнении различных движений руками.
- Подостная – эта мышца вращающей манжеты помогает поднимать и опускать плечо.
- Трёхглавая мышца плеча – эта большая мышца в задней части предплечья помогает выпрямить руку.
- Большая грудная мышца – эта большая веерообразная мышца простирается от подмышки до ключицы и вниз по нижней части грудной клетки. Он соединяется с грудиной (грудиной).
- Малая грудная мышца – меньшая из грудных мышц, эта мышца разветвляется от верхних ребер до плечевой зоны.
- Большая круглая мышца – задействуется при вращении плеча.
- Двуглавая мышца плеча: обычно известная как двуглавая мышца, эта мышца опирается на верхнюю часть плечевой кости. Он вращает предплечье, а также сгибает локоть.
- Широчайшая мышца спины – эта плоская прямоугольная мышца спины помогает вращать руки, а также отодвигаться и приближаться к телу.
- Подлопаточная мышца – находится около плечевой кости и ключицы. Задействуется при вращении плечевой кости.
- Надостная мышца – это небольшая мышца расположена в верхней части плеча и задействуется при поднимании руки вверх.
Четыре мышцы – надостная, подостная, большая круглая и подлопаточная – являются структурой вращательная манжета плеча. Она стабилизирует плечо и удерживает головку плечевой кости в полости суставной впадины для поддержания основного плечевого сустава.
Посттравматическая реабилитация
Восстановление после травмы плеча – процесс не быстрый. Реабилитацию, в среднем, можно начинать по прошествии месяца после получения повреждения. Опять таки, это вопрос индивидуальный и требует консультации специалистов по травматологии и по спортивной медицине.
Наиболее простое оборудование- это резиновая лента. В принципе, кроме нее вы можете больше ничего не приобретать. Выполнять следующий комплекс упражнений необходимо 3- 5 раз в неделю, каждое движение выполняется по 15- 20 повторений, максимально медленно и подконтрольно, чётко ощущая работу мышц. Помимо этого, вам понадобится место, куда вы сможете прикрепить вышеозначенную резиновую ленту, так, чтобы можно было поменять ее положение- на уровне пояса, выше и ниже оного.
-
Исходное положение – стоя лицом к месту крепления эспандера (либо резиновой ленты). Последний закреплен ниже уровня пояса. В поврежденной руке- эспадер, он натянут, создавая исходное напряжение в мышцах плечевого сустава. За счет совокупного движения плеча и лопатки, тянем резиновую ленту к поясу; возвращаемся в исходное положение.
- Упражнение аналогично предыдущему, но эспандер должен находится на уровне пояса, исходное положение в данном случае – сидя. Таким образом, эспандер оказывается примерно на одной линии с плечевым суставом. Тяга выполняется по тем же самым правилам.
- Исходное положение – аналогично описанному в п.2. Эспандер закреплен выше уровня плечевого сустава. Так же выполняем тягу эспандера к себе.
-
Разработка ротаторной манжетки: для этого упражнения понадобится гантель. Сгибаем руку в локте, прижимаем локтевой сустав к краю крыла подвздошной кости, плечо фиксируется в таком положении. Предплечье к телу расположено под 09 градусов. Выполняются плавные движения предплечьем влево- вправо, в маленькой амплитуде, до ощущения жжения внутри сустава.

Боль в плече из-за плечелопаточного периартрита («замороженное» плечо)
Плечелопаточный периартрит («замороженное плечо», адгезивный капсулит) — это болезненная скованность плечевого сустава, которая мешает выполнять обычные движения. Возникает из-за уплотнения, опухания и уплотнения тканей, окружающей плечевой сустав. Из-за этого в плечевом суставе остается меньше места для плечевой кости, и движения становятся скованными и болезненными.
Боль при плечелопаточном периартрите мешает заниматься обычными делами, например, самостоятельно одеваться, водить автомобиль, нарушает сон. Иногда из-за боли человек полностью перестает двигать рукой в плечевом суставе. Симптомы плечелопаточного периартрита могут сильно различаться, но, как правило, развиваются они медленно, на протяжении многих месяцев и даже лет.
Чаще всего плечелопаточный периартрит появляется в возрасте после 40 лет. Факторами риска, повышающими предрасположенность к заболеванию, являются:
Анатомические виды артрозов
Чтобы правильно поставить медицинское заключение, знать, какой сустав поразила болезнь, недостаточно. Классификация артрозов выделяет также специфические виды заболевания.
Деформирующий артроз
Деформирующий артроз иначе называют остеоартроз, где osteon по-гречески означает кость, т.е. заболеванию подвергается суставный хрящ, сочленяющиеся поверхности костей под ним, а затем разрушительный процесс захватывает синовиальную оболочку, связки, переходит на капсулу и близлежащие ткани.
Деформирующий артроз
Болезнь сопровождается костными разрастаниями (остеофиты), проявляется болью и ограничением движения в суставе. Субхондральный слой кости растворяется (склерозирование), одновременно по границе ее поверхности начинается костно-хрящевое разрастание с возможными кистоподобными костными полостями. Изменение костной ткани вместе с потерей хряща изменяет форму сустава.
В суставе накапливается экссудат, нарушая свойства синовиальной жидкости. Суставная капсула, связки и мышцы разрушаются. При ограничении амплитуды движений наступает мышечная атрофия. В самом начале развития деформирующего артроза боль ноющая, но она усиливается с нагрузкой, ее продолжительность увеличивается. Появляется характерный хрустящий звук (крепитация).
Если болезнь не лечить, скованность движений при остеоартрозе приводит к:
- деформации и увеличению сустава;
- развитию синовита;
- фиброзному анкилозу (неподвижности).
Унковертебральный артроз
Это болезнь, разрушающая позвонки в шейном отделе. Сначала разрушается межпозвоночный хрящ, затем диски и костную ткань. Растущая костная ткань передавливает нервные пучки и кровеносные сосуды, травмирует мышечную ткань. Кроме боли в шеи и при движении головой пациентов мучает головная боль, при отсутствии лечения – онемение и потеря чувствительности верхних конечностей.
Посттравматический артроз
Это заболевание, развивающееся чаще всего после травмы, перелома, огнестрельного ранения. Консервативные методики направлены на предотвращение дальнейшей деформации суставов и купирование болевого синдрома, но относятся лишь к симптоматической помощи. Сработают они только, если болезнь диагностирована на ранней стадии. На запущенных стадиях вернуть суставам подвижность поможет только хирургическое лечение.
Дегенеративный артроз
В медицине «дегенеративный» означает заболевание с гибелью нейронов. Когда речь идет о дегенеративном артрозе, подразумевают остеоартроз, в медицинской классификации артроза такой вид отсутствует. Целями лечения являются обезболивание, сохранение подвижности сустава и оптимизация его функций. Для этого используются медикаментозное лечение, лечебная физкультура (ЛФК) и изменение образа жизни. Протезирование назначается в последнюю очередь, если предыдущие методы не дали результата.
Ревматоидный артроз
Ревматизм – аутоиммунное заболевание, когда организм считает врагом собственные клетки. При этом воспаляется соединительная ткань, болезнь распространяется на сердце, суставы, внутренние органы. При ревматоидном артрозе, вторичном после артрита, типична ревматоидная лихорадка сустава, воспаление хряща с последующим разрушением.
Псориатический артроз
Вторичное заболевание, развивающееся на фоне псориатического артрита. Воспалительный процесс приводит к изменению состава и вязкости синовиальной жидкости, начинает разрушаться хрящевая ткань, а затем и кость. Лечение направлено на блокаду воспаления и на восстановление сустава.
Что делать, если после жима лежа болит плечо?
В общем и целом, тренировки со свободными весами на удивление безопасны по сравнению с другими физическими упражнениями. Это может показаться неожиданным, учитывая тот факт, что, кажется, большинство завсегдатаев тренажерного зала постоянно жалуются на боль в плечевом суставе при жиме и подобные проблемы. Но на самом деле список включает в себя всего две или три часто встречающиеся травмы, с которыми сталкивается большинство из нас. Возможно, наиболее распространенной проблемой, особенно для мужчин, является боль в плечевых суставах, вызванная жимом штанги лежа.
В этой статье мы расскажем, как избежать боли в плече при выполнении жимов штанги. Причины, по которым жим штанги может привести к боли в плечевых суставах, являются темой для отдельной статьи, но стоит отметить, что подобная боль обычно не является последствием жима как такового, а, скорее, неправильным выполнением упражнений или их злоупотреблением. У многих боль в плече при жиме лежа вызвана тем, что они берут слишком большой вес, занимаются дольше, чем следует, и все это в комбинации с неправильной техникой.
Если внести небольшие изменения в программу своих тренировок, Вы можете продолжать жать штангу с большим весом не только сейчас, но и в течение последующих лет и даже десятилетий. Если Вам это кажется интересным, давайте разбираться дальше.
Лечение травмы плеча
Курс лечения должен назначать только врач! Ни в коем случае не пытайтесь вылечиться самостоятельно, поскольку малейшая ошибка может привести к тому, что о возвращении в спорт вам придется забыть.
Но для того, чтобы вы имели общее представление о том, как выглядит лечебный и восстановительный процесс при травме плечевого сустава, мы расскажем о его основных этапах.
В общих чертах, лечение травмы плеча выглядит следующим образом:
- От 2 недель до месяца длится острый период травмы, во время которого движения в плечевом суставе крайне не желательны. В этот период применяются нестероидные противовоспалительные препараты, холодные компрессы, физиотерапевтические процедуры.
- После месяца острого периода начинается реабилитационный период. Он может длиться сколько угодно долго. Как правило, он довольно длительный- 4-6 месяцев, иногда больше, в зависимости от серьёзности травмы. Об этом периоде далее мы расскажем подробнее.
raresb — stock.adobe.com
Повреждения вращательной манжеты
К повреждению сухожилий вращательной манжеты могут приводить несколько причин:
- дегенеративные изменения;
- сужение пространства между акромионом и головкой плечевой кости;
- травма;
- хроническая травматизация.
Дегенеративные изменения связаны с нарушением кровообращения сухожилий вращательной манжеты, процессом старения и износом тканей, а также с качественными изменениями коллагеновых волокон в составе сухожилий.
Сужение пространства между акромионом и головкой плечевой кости (импинджмент-синдром) возникает на фоне особого строения акромиального отростка или после получения травмы. Сухожилие надостной мышцы, проходящее в данном пространстве, попадает как бы в тиски и постепенно сдавливается.
Характерными травмами являются падение на область плечевого сустава или на вытянутую вперед руку, резкое поднятие тяжести, резкое отведение руки в сторону.
Частые микротравмы области плечевого сустава возникают у людей тяжелого физического труда и бросающих атлетов. К типичным профессиям можно отнести и тех, у кого работа связана с длительным положением руки на уровне 90и выше. Это, к примеру, парикмахеры, стоматологи, электрики, плотники, маляры.
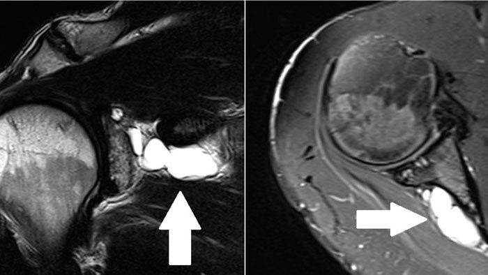
Симптомы разрыва вращательной манжеты.
Небольшие разрывы или частичные повреждения могут проходить бессимптомно. Но чаще всего ведущим признаком является боль. При факте травмы боль возникает резко, а при повторяющихся нагрузках она усиливается постепенно и со временем нарастает. Наибольшая интенсивность боли определяется при отведении руки по дуге от 60 до 120. Периодически боль усиливается ночью и приводит к нарушению сна.
Во время осмотра можно выявить снижение силы мышц травмированной конечности. Болевые ощущения ограничивают объем движений в плечевом суставе и приводят к развитию контрактуры (тугоподвижности).
Консервативное лечение
Частичные повреждения сухожилий вращательной манжеты могут быть со стороны суставной поверхности, со стороны акромиона или внутри сухожилия. Лечение целесообразно начать с консервативных методов. Основная задача – устранить причину возникновения патологического процесса и купировать воспаление. Пациенту необходимо снизить свои физические нагрузки. Врачом назначаются противовоспалительные препараты, физиотерапия, лечебная физкультура. При отсутствии подтверждения полнослойного разрыва возможно введение субакромиально кортикостероидных препаратов с целью обезболивания и уменьшения воспаления.
В последнее время большое внимание уделяется возможности регенерации тканей. Как современный альтернативный метод безоперационного укрепления мягкотканных структур плеча применяется внутрисуставное введение обогащенной тромбоцитами плазмы (PRP) в комбинации с ударно-волновой терапией (УВТ)
Консервативное лечение также рассматривается в качестве подготовительного этапа перед хирургическим вмешательством.
Операция
Полнослойный разрыв может затрагивать как одно сухожилие, так и несколько. Массивные повреждения вращательной манжеты в ряде случаев характеризуются, как невосстановимые и требуют открытых операций с целью пластического замещения дефектов сухожилия или перемещения других мышц в зону разрыва.
Биодеградируемые импланты Титановые импланты
Для основной массы разрывов применяются современные технологии артроскопического шва. Артроскопия выполняется под эндотрахеальным наркозом, который может сочетаться с проводниковой анестезией нервов плечевого сплетения. На операционном столе уже под анестезией пациент укладывается в положение «пляжного кресла». Артроскопическое вмешательство подразумевает выполнение 4-5 проколов по 5мм по периметру плечевого сустава, в который вводится камера и микрохирургические инструменты. С их помощью производится декомпрессия сухожилия, очистка и расширение субаромиального пространства. Шов сухожилия выполняется после установки в головку плечевой кости специальных винтов (якорей) с прикрепленными к ним нерассасывающимися нитями. За счет нитей сухожилия прошиваются и фиксируются в головке плечевой кости.
Наилучшие результаты оперативного лечения разрыва вращательной манжеты прослеживаются в сроки до 3 месяцев с момента травмы.
Симптомы плечелопаточного периартрита
У большинства пациентов с диагнозом «плечелопаточный периартрит» были обнаружены дегенеративно-дистрофические изменения межпозвонковых дисков нижнешейного отдела позвоночника, как правило, с сужением позвоночного канала. Проявления периартроза напрямую зависят от формы и стадии его развития. Различную простую, острую и хроническую форму патологии. В первом случае изначально возникают слабо выраженные боли в плече во время осуществления движений, в частности часто требующихся в быту, например, причесывание, одевание, умывание. В отдельных случаях боли также могут возникать по ночам, особенно если у человека развилась стойкая привычка спать именно на стороне больного плеча. Как правило, больные не могут вспомнить, что именно стало причиной возникновения дискомфорта, так как падений, ударов и других травмирующих факторов не наблюдалось. Реже пациенты все же связывают появление болей с переохлаждением или травмой.
При остром плечелопаточном периартрите сразу же возникают резкие грызущие боли, существенно усиливающиеся при отведении руки назад и в сторону, а также при пальпации. При этом выполнение аналогичных движений вперед также вызывают боли, но их выраженность существенно меньшая. В таких ситуациях боли могут набирать интенсивность по ночам и не устраняться даже при использовании обезболивающих. Иногда они настолько мощные, что лишают человека сна. Именно это является наиболее частой причиной обращения к врачу при развитии периартроза.
Пациенты жалуются на разлитую боль в плече, которая может
отдавать в шею и внешнюю часть руки. Подобное может сопровождаться
незначительным повышением температуры тела и общим ощущением недомогания,
слабости. Больные обычно принимают вынужденное положение тела с поддержанием
пострадавшей руки в согнутом в локте положении, нередко дополнительно
придерживая ее здоровой рукой. Это позволяет им избежать движений в плечевом
суставе.
Для хронического плечелопаточного периартрита характерно возникновение нарушений подвижности плеча, причем постепенно амплитуда движений все больше и больше уменьшается. Выраженные боли для хронического процесса не типичны, хотя болевые ощущения умеренной силы могут возникать как при начале развития болезни, так и уже после формирования тугоподвижности плечевого сустава. При хроническом периартрозе боли соответствуют области развития воспалительного процесса или дегенеративно-дистрофических изменений, хотя могут также отдавать в шею. При этом прием анальгетиков обычно успешно купирует болевой синдром, хотя не влияет на степень ограниченности движений. Хроническая форма заболевания не всегда является следствием отсутствия лечения острой и может развиваться самостоятельно на фоне фиброзного бурсита. Но в любом случае она чревата возникновением анкилозирующего плечелопаточного периартрита, т. е. неподвижности сустава.
Если же возникновение плечелопаточного периартрита стало
следствием разрыва сухожилий, что обычно наблюдается у спортсменов и людей,
занятых тяжелым физическим трудом, это сопровождается возникновением сильной
боли. Кроме того, в проекции места получения травмы может формироваться
гематома, а движения больной рукой резко ограничены или вовсе невозможны. При
этом пассивные движения, т. е. выполняемые другим человеком, не ограничиваются.
Что делать, если после жима лежа болит плечо?
В общем и целом, тренировки со свободными весами на удивление безопасны по сравнению с другими физическими упражнениями. Это может показаться неожиданным, учитывая тот факт, что, кажется, большинство завсегдатаев тренажерного зала постоянно жалуются на боль в плечевом суставе при жиме и подобные проблемы. Но на самом деле список включает в себя всего две или три часто встречающиеся травмы, с которыми сталкивается большинство из нас. Возможно, наиболее распространенной проблемой, особенно для мужчин, является боль в плечевых суставах, вызванная жимом штанги лежа.
В этой статье мы расскажем, как избежать боли в плече при выполнении жимов штанги. Причины, по которым жим штанги может привести к боли в плечевых суставах, являются темой для отдельной статьи, но стоит отметить, что подобная боль обычно не является последствием жима как такового, а, скорее, неправильным выполнением упражнений или их злоупотреблением. У многих боль в плече при жиме лежа вызвана тем, что они берут слишком большой вес, занимаются дольше, чем следует, и все это в комбинации с неправильной техникой.
Если внести небольшие изменения в программу своих тренировок, Вы можете продолжать жать штангу с большим весом не только сейчас, но и в течение последующих лет и даже десятилетий. Если Вам это кажется интересным, давайте разбираться дальше.
Методы лечения плечевого сустава
Для правильного лечения необходимо, чтобы врач квалифицированно определил, почему болит плечевой сустав. В случае, когда мышца застужена, необходимо применить согревающие мази или перцовый пластырь. Но проделать это необходимо сразу, дабы не спровоцировать невралгию. При длительной и серьезной боли в плече назначают обезболивающие препараты. Крайне редко в лечении плечевого сустава используют хирургический метод.
https://youtube.com/watch?v=DBDhrpzdSEg
Стоит знать, что категорически нельзя пытаться устранить острую боль в области плечевого сустава разогреванием. Кроме медикаментозного лечения, используют воздействие холодом и назначают физические упражнения. После снятия сильных болей применяют ультразвук. Хорошо подготавливаются мышцы при использовании массажа. Весь восстановительный период может занять достаточно долгое время.
После снятия болевого синдрома, в случае занятий спортом, следует воздержаться от тренировки на протяжении недели. Начинать следует только с разминки, далее можно выполнять упражнения без отягощения. Активно применяйте разминку и навсегда откажитесь от занятий через боль. Можно применять всевозможные добавки и минеральные вещества для ускоренного восстановления плеча.
О том, как лечить больное плечо, лучше всего скажет спортивный врач-ортопед, если ваш случай связан с физическими перегрузками. Если боль мучает ночью, чтобы дождаться визита к врачу, выпейте болеутоляющее средство. Постарайтесь уснуть на здоровой стороне. А на сторону больного плеча подложите подушку или мягкий валик, чтобы снять напряжение.
как устранить ночную боль
Упражнения для плечевого сустава
Чтобы не усугубить проблемы, нельзя делать упражнения при болях в плечевом суставе, если есть отеки или не снято воспаление. Надо избегать поднятия тяжести и выполнения некомфортных движений. Сустав следует беречь, поэтому давайте ему отдохнуть, а физические нагрузки делайте медленно, и в случае необходимости останавливайтесь. Каждый раз следует начинать делать упражнения с растяжки
Это очень важно для разработки вращательной мышцы
Обопритесь на стул здоровой рукой, чуть подав корпус вперед. Начинайте покачивать больной рукой, постепенно наращивая амплитуду вращения. Проделывайте упражнение сначала по направлению часовой стрелки, а потом против нее. Выполнять это следует до того, как появится боль в суставе плеча. Этого лучше избегать.
Лягте на коврик и ухватитесь руками за гимнастическую палку на ширину плеч. Медленно поднимайте руки до угла в 90 градусов. Упражнение можно начинать с 15 повторений и увеличивать их число изо дня в день. Помним, что боль – ограничитель.
Оставаясь в положении, когда вы лежите на спине, можно выполнить следующее упражнение. Сцепив руки в замок на затылке подтягиваем правый локоть к левому уху, а левый локоть к правому. Начинать рекомендуется с 10 раз, постепенно наращивая число повторений
Все упражнения выполняются медленно, обращая внимание на дыхание. Вдох и выдох должны быть качественными и полными.
Еще одно упражнение, всем знакомое с детства, которое хорошо выполнять, когда болят суставы плеч
Кладем кисти рук на верхушки плеч и делаем вращательные движения локтями сначала вперед, а затем назад. Это упражнение выполняется стоя.

На весь комплекс всегда можно выделить на каждый день по 10-15 минут. Лучше проделывать это с утра на пустой желудок.




